Menu Left
- 
          NOTICIAS
                                
  
  Tipo de noticiaNoticias Destacadas
- 
          La Asociación
                                
  
  Noticias destacadas de La Asociación
- Información para pacientes
- 
          Comunicados de prensa
                                
  
  Comunicados de la asociación
Sobrescribir enlaces de ayuda a la navegación
- Inicio
- Otras Noticias
Publicidad
Publicidad
La realización de los tatuajes son una costumbre que con el tiempo se han puesto de moda y muchas personas se los quieren realizar, o se los están haciendo. Es importante saber que si se tiene alguna condición de la piel es mejor consultar con su médico dermatólogo antes de tomar la decisión de
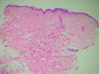
Evaluación del caso.
Identificación. Paciente femenina 10 años
Natural y procedente: Soacha-Cund
Ocupación: estudiante.
Motivo de Consulta: “Tiene unas ronchas”
Enfermedad Actual: Inicio espontáneo hace 3 meses de lesiones pruriginosas, descamativas
El fenómeno de Koebner es un signo dermatológico que se reconoce la reproducción de una enfermedad de la piel secundario a un trauma.
Este se identifica muy frecuentemente en situaciones donde se forma una cicatriz, y sobre esta se reproduce la enfermedad cutánea.
Los ejemplos más
En las consultas de dermatología muchos pacientes llegan preguntando cuál es el origen de muchas enfermedades y dentro de estas, es frecuente que si este tipo de enfermedades en la piel están relacionadas con el hígado.
Aunque las enfermedades hepáticas si pueden producir algunos
 
 
 
 
         
         
         
         
        